+918048036066

ROOTZDENTALCAREANDIMPLANTCENTER https://www.rootzdentalcare.co.in
Preview

This is your website preview.

Currently it only shows your basic business info. Start adding relevant business details such as description, images and products or services to gain your customers attention by using Boost 360 android app / iOS App / web portal.

919786688755

TEMPOROMANDIBULAR JOINT DISORDER: "Your jaw works...

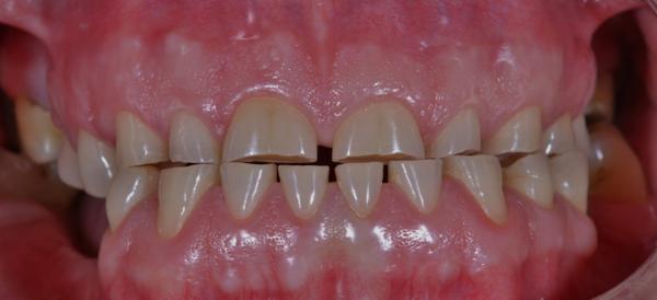
🦷 "Hybrid splints: The perfect blend of strength and flexibility for periodontal stability!"

DO PAIN NEAR EAR LOBE IS RELATED TO DENTAL at Root...

Clear aligners and braces treatment in Chennai, OM...

Dental treatments in Chennai, OMR, Thoraipakkam, R...

Full Mouth Rehabilitation in Karapakkam, Rootzdent...

IMPORTANCE OF BRUSHING ROOTZ DENTAL CARE NAVALUR 1...

services