+918048036066
Currently it only shows your basic business info. Start adding relevant business details such as description, images and products or services to gain your customers attention by using Boost 360 android app / iOS App / web portal.
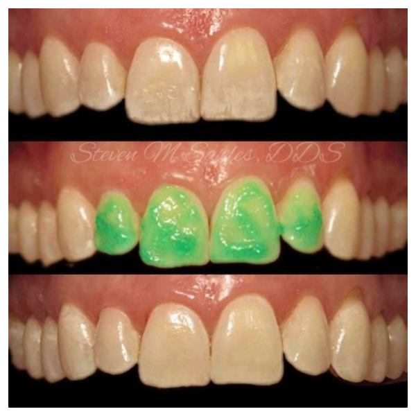
WHAT IS ICON INFILTRATION , ROOTZ DENTAL CARE NAVALUR . ICON Infiltration in dentistry — specifically a minimally invasive technique used to treat early enamel caries (white spot lesions) without drilling or anesthesia. It’s a pretty exciting development in modern preventive and cosmetic dentistry.ROOTZ DENTAL CARE NAVALUR. 🦷 What is ICON Infiltration? ICON stands for Infiltration Concept. It’s a resin infiltration technique developed by DMG (a dental materials company) to arrest the progression of early caries lesions and improve the aesthetic appearance of white spot lesions, especially on front teeth. 🔍 When is ICON used? Early enamel caries (non-cavitated lesions) White spot lesions after orthodontic treatment (like braces) Fluorosis (mild cases) Developmental enamel hypoplasia Advantages of ICON -No drilling or anesthesia required -Preserves tooth structure -Improves aesthetics by blending white spots with natural enamel -Quick and painless (usually completed in one sitting) How does it work? Etching the lesion with hydro chroic acid to open the enamel pores. Drying the lesion , Applying the ICON infiltrate resin, which penetrates into the lesion. Light-curing the resin to harden and stabilize it. Results The resin has a refractive index close to that of healthy enamel, so the white spot becomes virtually invisible, giving a natural look.ROOTZ DENTAL CARE NAVALUR .