+918048036066

ROOTZDENTALCAREANDIMPLANTCENTER https://www.rootzdentalcare.co.in
Preview

This is your website preview.

Currently it only shows your basic business info. Start adding relevant business details such as description, images and products or services to gain your customers attention by using Boost 360 android app / iOS App / web portal.

919786688755

🦷 “Say goodbye to white spot lesions – Icon infiltration

WHAT IS ICON INFILTRATION , ROOTZ DENTAL CARE NAVA...

EARLY SIGNS OF DENTAL TROUBLE , ROOTZ DENTAL CARE ...

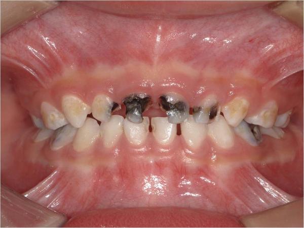
Management of baby bottle tooth decay at Best dent...

Xerostomia: It's more than just a dry feeling—it's...

Prevention of early childhood caries at Rootz dent...

The Truth about Dental Caries: Prevention & Treatm...

ECC-Early childhood caries. Best Pediatric dentis...

services