+918048036066

ROOTZDENTALCAREANDIMPLANTCENTER https://www.rootzdentalcare.co.in
Preview

This is your website preview.

Currently it only shows your basic business info. Start adding relevant business details such as description, images and products or services to gain your customers attention by using Boost 360 android app / iOS App / web portal.

919786688755

Why Oral Health Becomes More Important as We Age a...

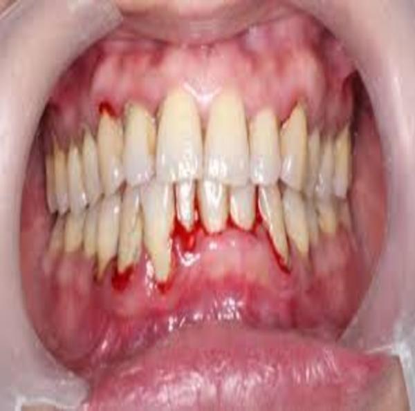
WHY DO GUMS BLEED WHILE BRUSHING . • Gingivitis: ...

Dental treatments in Chennai, OMR, Thoraipakkam, R...

Bleeding gums-The Truth about Bleeding Gums: What ...

How Oral Health Affects the Body-At Rootzdentalcar...

Gum treatment in Thoraipakkam, Rootzdentalcare, be...

Management of missing teeth at OMR, Thoraipakkam, ...

Teeth Cleaning in Thoraipakkam, Chennai: Shine Bri...

services