+918048036066
Currently it only shows your basic business info. Start adding relevant business details such as description, images and products or services to gain your customers attention by using Boost 360 android app / iOS App / web portal.
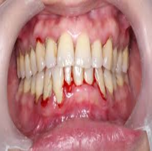
WHY DO GUMS BLEED WHILE BRUSHING . • Gingivitis: This is the early stage of gum disease, often caused by plaque buildup. It leads to inflammation, swelling, and bleeding. • Periodontitis: If gingivitis is untreated, it can progress to this more severe gum disease, where gums recede and teeth may loosen. • Vitamin Deficiencies: Lack of vitamins like C and K can weaken gums and prolong bleeding. • Aggressive Brushing: Using a hard-bristled toothbrush or brushing too vigorously can irritate gums. • Hormonal Changes: Pregnancy or puberty can make gums more sensitive. • Medications: Blood-thinning medications can reduce clotting ability, leading to bleeding.ROOTZ DENTAL CARE NAVALUR .