+918048036066
Currently it only shows your basic business info. Start adding relevant business details such as description, images and products or services to gain your customers attention by using Boost 360 android app / iOS App / web portal.
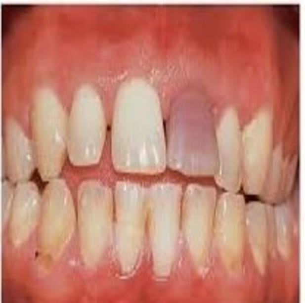
Pink tooth in dentistry what does it mean ?At best dental care Rootz dental care navalur. "Not all pink is pretty – pink tooth often signals trauma or internal resorption." Best dental clinic. In dentistry, a "pink tooth" (also known as "pink tooth of Mummery") refers to a condition where the tooth appears pinkish in color due to internal bleeding or resorption inside the tooth. Causes of Pink Tooth at Rootz dental care navalur: 1.Internal resorption: A pathological condition where the dentin (inner tooth structure) starts to break down from the inside. As blood vessels from the pulp invade the resorbed areas, the tooth takes on a pink hue. 2.Trauma to the tooth: A blow to the tooth can damage the pulp and cause internal bleeding or inflammation. The accumulation of blood inside the tooth can cause a pink appearance. 3.Orthodontic treatment or dental procedures: Excessive or rapid movement during orthodontic treatment might trigger resorption. Some restorative or bleaching procedures may rarely irritate the pulp and lead to discoloration. Treatment options for pink tooth at Rootz dental care navalur 1.Root canal treatment (RCT) is typically required to remove the damaged pulp and save the tooth. 2.In severe cases, extraction may be necessary if the tooth cannot be restored. To spot early signs contact us at Rootz dental care navalur