+918048036066
Currently it only shows your basic business info. Start adding relevant business details such as description, images and products or services to gain your customers attention by using Boost 360 android app / iOS App / web portal.
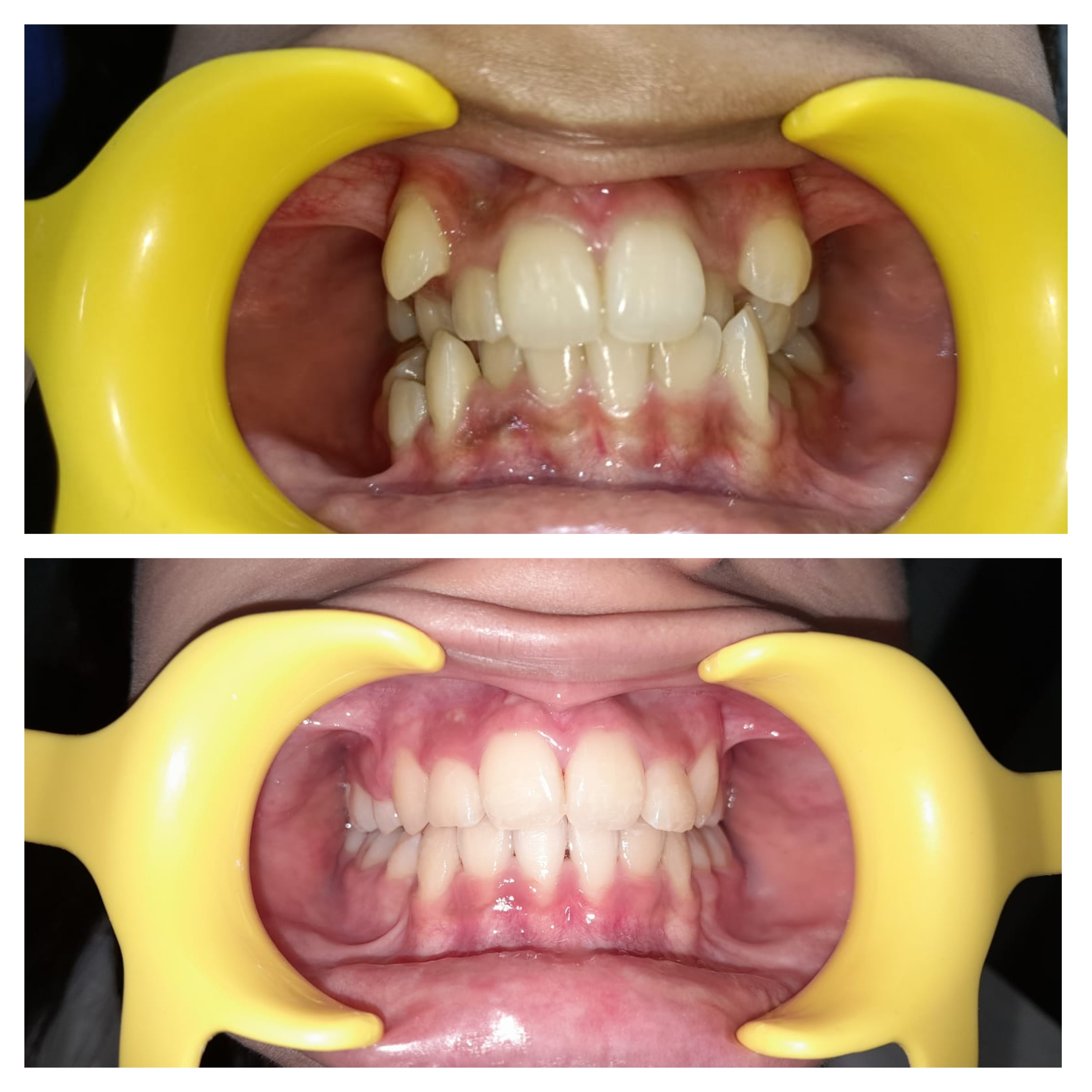
Braces treatment for kids at Best dental clinic, Rootz navalur: There are various benefits for starting braces for your kids with us at Rootz dental care, of which some are: 1.Improved Dental Alignment & Bite Correction. 2.Easier Cleaning & Better Oral Hygiene. 3.Prevention of Future Dental Issues 4.Boosts Self-Confidence & Social Comfort. 5.Better Speech Development. 6. Guides Jaw Growth & Facial Aesthetics so we at Rootz dental care navalur recommend Starting braces treatment at the right age (usually between 8-14 years) takes advantage of the child's growing jaw, making the process more effective and efficient. If you are concerned about the alignment of your child teeth contact us at Rootz dental care navalur